A inteligência artificial (IA) na detecção de imagens torácicas transformou os fluxos de trabalho diários das radiografias torácicas (CXRs). As CXRs ainda representam cerca de 40%¹ de todas as imagens capturadas nas unidades de radiologia hospitalar. O processo de interpretação das CXRs é complexo porque diferentes patologias² apresentam características radiográficas sobrepostas, enquanto as estruturas anatômicas se sobrepõem umas às outras. A combinação do aumento do volume de imagens dificulta a redução do tempo de resposta dos laudos e aumenta o potencial de variabilidade diagnóstica³.
À medida que a quantidade de exames aumenta, radiologistas com anos de experiência trabalham sob pressão. Os relatórios demoram mais, as opiniões divergem e o diagnóstico precoce pode não acontecer.
No entanto, a detecção de lesões torácicas por IA pode ajudar. Pense nisso como um par extra de olhos atentos trabalhando em tempo real. O software é executado em segundo plano, portanto, os radiologistas não precisam fazer cliques extras. Ele sinaliza áreas de preocupação, as mede e fornece um resumo. O AZchest, a solução de detecção torácica dentro do Rayvolve® AI Suite da AZmed, possui a marcação CE e a aprovação da FDA⁴. O sistema examina cada radiografia torácica frontal em busca de sete achados importantes. Ao detectar sinais sutis precocemente, ele reduz lesões não diagnosticadas, aumenta a segurança do paciente e triagem de casos urgentes.
Este artigo explica como funciona a detecção de achados torácicos por IA, como o AZchest se encaixa no fluxo de trabalho diário e quais são os benefícios relatados pelos hospitais.
Aplicações de IA para sistemas de detecção torácica melhoram as capacidades de imagem médica
As aplicações de IA para sistemas de detecção torácica melhoram as capacidades de imagem médica.
O AZchest analisa cada radiografia frontal e lateral do tórax para detectar sete doenças pulmonares e cardíacas comuns: nódulos pulmonares, fraturas de costelas, cardiomegalia (coração aumentado), consolidação (espaço aéreo preenchido), derrame pleural (líquido ao redor dos pulmões), pneumotórax (vazamento de ar devido a ruptura pulmonar) e edema pulmonar (líquido no tecido pulmonar).
Os turnos noturnos cansam até mesmo os melhores leitores, por isso pequenas pistas podem passar despercebidas. No entanto, a IA na detecção de nódulos pulmonares permanece alerta, promovendo o diagnóstico precoce e também protegendo contra o câncer de pulmão em estágio inicial.
O mecanismo de aprendizado profundo do software, construído em uma rede neural convolucional conjunta, acelera todas as leituras. Conectado diretamente ao PACS, ele desenha caixas claras, classifica os casos e permite que os radiologistas abram os casos corretos primeiro e, em seguida, concluam o restante com tranquilidade e confiança.
Como funciona em 4 etapas
O AZchest funciona com várias redes neurais em conjunto. Cada rede aprendeu a partir de um enorme conjunto de radiografias torácicas que abrangem todas as idades, sexos e tipos de corpo.
- Reunir – criação de um grande banco de imagens normais e de doenças.
- Rotular – os radiologistas desenharam marcas que apontam para sete sinais torácicos importantes.
- Treinar – as redes estudaram essas marcas ao longo de muitos ciclos supervisionados até conseguirem ver padrões tênues por conta própria.
- Verificação – testamos a precisão em ambiente clínico e em ensaios de estudo de leitores que compararam os médicos com o código.
Dados precisos e cálculos matemáticos robustos garantem ao AZchest um desempenho estável em todos os scanners e grupos de pacientes, para que os hospitais possam confiar em todos os alertas.
CXR vs. CT Imaging
Embora as imagens de TC e as tomografias computadorizadas sejam excelentes para detalhar pequenos nódulos pulmonares, elas custam mais, expõem os pacientes a doses mais altas e nem sempre estão disponíveis na sala de emergência. A IA na detecção torácica traz parte desse poder de detalhamento para a radiografia de tórax, permitindo uma triagem mais rápida e menos resultados perdidos na prática clínica de rotina.
Vantagens clínicas da IA na detecção torácica
A detecção por IA em imagens torácicas traz benefícios evidentes que mantêm a radiologia em movimento todos os dias. Os números comprovam isso claramente.
Olhos cansados não percebem pequenos sinais. O software, por outro lado, percebe. Ele ainda detecta pequenos nódulos, camadas finas de líquido ou vazamentos de ar, mesmo tarde da noite. Como resultado, perigos urgentes, como um pulmão colapsado ou uma bolsa de líquido tensa, saltam para o topo da fila de trabalho, para que o tratamento comece mais cedo.
Em um estudo retrospectivo multicêntrico publicado na revista Diagnostics, nove leitores interpretaram 900 radiografias de tórax com e sem a ajuda de uma ferramenta de aprendizado profundo, usando como referência o consenso de três radiologistas. Com a ajuda da IA, a AUC média aumentou 15,94% (0,759 ± 0,07 para 0,880 ± 0,01; p<0,001), a sensibilidade em 11,44% (0,769 ± 0,02 para 0,857 ± 0,02), a especificidade em 2,95% (0,946 ± 0,01 para 0,974 ± 0,01) e o tempo de leitura diminuiu 35,81%. Em uma avaliação independente separada de 9.000 radiografias de tórax de 16 centros de imagem, o modelo alcançou sensibilidade de 0,964, especificidade de 0,844, VPP de 0,757 e VPN de 0,9798.

Livres das leituras rotineiras, os radiologistas podem se dedicar aos casos mais complexos. Como o AZchest está integrado ao PACS, a equipe mantém seus cliques habituais, mas observa um fluxo mais rápido do início ao fim.
Leia o estudo clínico completo Aqui
A detecção torácica por IA demonstra resultados concretos por meio da análise de casos diversos.
Caso clínico 1
O sistema de detecção torácica com IA sinalizou um pequeno nódulo localizado na parte inferior do pulmão esquerdo em uma radiografia torácica frontal de rotina, desenhando uma caixa clara para marcar a região de interesse (ROI). Graças a esse alerta precoce, o nódulo foi examinado no mesmo dia e exames de acompanhamento foram agendados rapidamente, sem aumentar a burocracia ou causar atrasos para a equipe de atendimento.

Caso clínico 2
O AZchest identificou outro nódulo na parte superior do pulmão, mesmo com um marcapasso cardíaco projetando listras metálicas brilhantes na imagem. No entanto, a rede manteve a calma, analisando a imagem complexa com sua precisão e rapidez habituais. Assim, em um minuto tenso e urgente, esse “segundo par de olhos” confiável detectou o perigo antecipadamente, protegeu a segurança do paciente e aprimorou o relatório final para o médico assistente.

Implementação e integração: trazendo a IA para a prática clínica
A AZmed oferece múltiplas opções de implementação da sua plataforma de detecção torácica por IA, permitindo que cada hospital a adapte à sua infraestrutura, políticas de rede e limitações orçamentárias.
- Na implementação totalmente local (full-local route), todo o mecanismo fica atrás do firewall. As imagens permanecem no campus, a latência diminui e a equipe interna de TI mantém controle absoluto. Essa opção é adequada para grandes centros que digitalizam volumes grandes, possuem servidores potentes e seguem regulamentos rígidos de dados.
- Como alternativa, um site leve pode transferir o trabalho para a nuvem. ligações VPN criptografadas transferem os estudos para um hub de dados seguro, onde GPUs de alta potência concluem a leitura em segundos. O fluxo de saída é pequeno, o retorno é rápido e o hardware local quase não é afetado.
- Para muitas equipes, no entanto, o ponto ideal é o híbrido. Os exames principais são executados em nós locais, mas os trabalhos excedentes ou de atualização são transferidos para a nuvem sob demanda. O desempenho é escalonado, mas a propriedade dos dados permanece intacta.
Enquanto isso, uma integração estruturada acelera a adoção. Vídeos curtos e demonstrações ao vivo ensinam como ler as caixas, verificar alertas e incorporar as descobertas da IA no relatório final. Assim, a confiança aumenta e o cansaço diminui.
Todas as vias respeitam o RGPD. Registros seguros, acesso baseado em funções e trilhas de auditoria automáticas protegem a privacidade dos pacientes em ambos os lados do Atlântico.
Integração contínua com sistemas de imagem em tempo real
O AZchest se conecta ao RIS e PACS usando links DICOM padrão, portanto, não é necessário nenhum equipamento ou recurso especializado.
Cada nova radiografia torácica é enviada diretamente para o pipeline de detecção torácica da IA. Em segundos, o mecanismo conclui sua varredura. Em seguida, caixas brilhantes aparecem sobre pontos suspeitos, indicando vazamentos de ar, líquido ou pequenos nódulos. Depois, o radiologista verifica cada marca, acrescenta seu julgamento e assina o relatório. Em resumo, essa estreita conexão fornece respostas rápidas e as mesmas etapas claras todas as vezes.
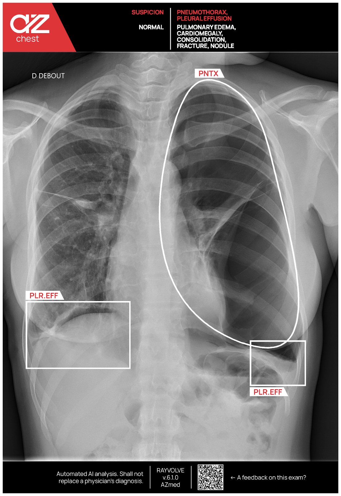
Novo recurso: contorno de PTX para pneumotórax
As caixas delimitadoras são rápidas, mas cortam os cantos, literalmente. Para pneumotórax (PTX), o AZchest pode mudar para um contorno suave que acompanha a borda real do ar escapado. Assim, os radiologistas veem a forma e a profundidade reais, e não um quadrado aproximado.
Por que isso é importante? Primeiro, o contorno curvo fica bem na borda pleural, de modo que as verificações de tamanho permanecem estáveis do dia à noite. Segundo, a linha precisa orienta a colocação do dreno torácico e mostra o encolhimento nas imagens de acompanhamento, aumentando a confiança clínica.

Enquanto isso, todas as outras descobertas continuam em suas caixas organizadas, para que a tela permaneça arrumada. Um clique ativa ou desativa o contorno PTX, oferecendo mais detalhes aos usuários avançados, enquanto os usuários iniciantes desfrutam de uma visualização familiar.
Marcos regulatórios e validação
A marca CE na Europa e, da mesma forma, a aprovação da FDA nos Estados Unidos mostram que a detecção torácica por IA está pronta para ser utilizada na prática real. Além disso, a aprovação da FDA abrange a detecção de nódulos pulmonares e a triagem de pneumotórax, líquido pleural e nódulos pulmonares, comprovando mais uma vez a segurança e o valor da ferramenta no atendimento ao paciente.
A marca CE confirma a total conformidade com os rigorosos controlos de qualidade da UE. Estudos independentes realizados por leitores e implementações em hospitais, em vários scanners e numa ampla variedade de casos, continuam a demonstrar um desempenho estável e confiável, semana após semana.
Conclusão
A detecção de AI em radiografias torácicas passou de uma ideia brilhante a uma ferramenta diária. O AZchest atua como um segundo par de olhos incansável; ele ajuda os radiologistas e nunca os deixa de lado.
Além disso, o sistema está aprovado para os principais achados torácicos e possui os selos CE e FDA, além de se conectar facilmente ao sistema de TI do hospital. Portanto, as clínicas que desejam um tempo de resposta mais rápido, menos divergências e leituras torácicas mais precisas podem adotar com confiança essa plataforma comprovada e atender às crescentes demandas clínicas atuais, com o mínimo de interrupção nas rotinas da equipe.
Referências
- Mongan, J. et al. "Prevalence and Complexity of Chest Radiographs in Clinical Practice." Journal of Medical Imaging and Radiation Oncology 2020.
- Ioffe, I. & Kalra, M. "Superimposition Challenges in Chest‑X‑ray Interpretation." Journal of Thoracic Imaging 2019.
- Brady, A. P. "Error and Discrepancy in Radiology: Inevitable or Avoidable?" Insights into Imaging 2019.
- AZmed. "AZmed Receives Two New FDA Clearances for Its AI‑Powered Chest‑X‑ray Solution." News release, 2025.
Perguntas frequentes: IA para raio-X do tórax
O que é IA para raios-X do tórax?
A IA para radiografias torácicas é um software que analisa imagens radiográficas torácicas em segundos para auxiliar os médicos na detecção e triagem. Destaca regiões de interesse, sugere a prioridade do estudo e auxilia na interpretação das imagens torácicas, deixando o julgamento final a cargo do radiologista.
Como um modelo de IA analisa imagens radiográficas do tórax?
Um modelo de IA é treinado em grandes conjuntos de dados selecionados de radiografias torácicas rotuladas. Ele aprende padrões de imagem que se correlacionam com os resultados e, em seguida, aplica esses recursos aprendidos a novos estudos para propor marcas, contornos ou pontuações que orientam a interpretação das radiografias torácicas.
Que achados as ferramentas de IA para radiografias de tórax podem detectar ou classificar atualmente?
Muitas ferramentas de IA concentram-se em achados de alto impacto, como pneumotórax, derrame pleural, nódulos pulmonares, consolidação, cardiomegalia, fraturas de costelas e edema pulmonar. Confirme sempre a lista de indicações aprovadas ou certificadas para sua região e produto.
Como a IA para radiografias torácicas melhora a precisão do diagnóstico?
Ao fornecer uma triagem inicial consistente, a IA pode aumentar a sensibilidade para condições prioritárias e reduzir erros de percepção. Os ganhos em precisão diagnóstica dependem da combinação de casos, scanners, limites e comportamento do leitor, portanto, os centros devem validar o desempenho localmente.
A IA para Raio-X do tórax substituirá os radiologistas?
Não. Esses sistemas auxiliam na interpretação de radiografias torácicas. Eles priorizam estudos e sinalizam padrões, mas os radiologistas confirmam ou descartam os achados, integram o contexto clínico e elaboram laudos radiológicos.
Como a IA para radiografias torácicas se integra aos aspectos clínicos?
A maioria das implementações se conecta ao PACS ou RIS por meio do padrão DICOM. Novos exames são processados em segundo plano. Sobreposições e etiquetas de triagem aparecem no visualizador e na lista de trabalho, para que as equipes mantenham fluxos de trabalho familiares com o mínimo de treinamento.
O que é triagem ou notificação em IA para radiografias de tórax?
A triagem sinaliza um estudo como potencialmente urgente quando o algoritmo detecta padrões predefinidos. Isso ajuda os médicos a atender primeiro os casos críticos, mantendo o controle total sobre a interpretação das imagens torácicas e as ações subsequentes.
Como devem ser definidos os parâmetros para ferramentas de IA em radiografias de tórax?
Comece com um limite de segurança que identifique doenças urgentes. Acompanhe a sensibilidade, a especificidade, o VPP, o VPN e a taxa de sinalização por turno e modalidade. Ajuste os limites para equilibrar a carga de trabalho e a precisão do diagnóstico e, em seguida, reajuste após alterações no protocolo ou no hardware.
Como os modelos de IA lidam com dispositivos e artefatos em radiografias de tórax?
Modelos bem treinados são expostos a linhas, tubos e implantes durante o desenvolvimento. O desempenho costuma ser estável para artefatos comuns, mas movimentos, ruídos intensos ou hardware incomum podem prejudicar os resultados. A supervisão do radiologista continua sendo essencial.
A IA para raios-X do tórax pode contornar um pneumotórax em vez de desenhar uma caixa?
Alguns sistemas fornecem um contorno pleural. Os contornos podem melhorar a estimativa do tamanho e a avaliação de acompanhamento, auxiliando nas decisões clínicas quando comparados com caixas delimitadoras grosseiras.
Quais são as opções de implementação da IA para radiografias torácicas em contextos clínicos?
Os sistemas podem ser executados nas suas próprias instalações, na nuvem ou utilizando um modelo híbrido. A encriptação, o acesso baseado em funções e as trilhas de auditoria protegem os dados. Escolha a arquitetura que atende aos seus requisitos de latência, escalabilidade e governança.
Quanto treinamento os médicos precisam para usar ferramentas de IA para radiografias de tórax?
A formação é breve. Os utilizadores aprendem convenções de sobreposição, etiquetas de triagem, armadilhas comuns e vias de escalonamento. Uma breve integração com casos reais acelera a adoção e mantém a qualidade.
Como devemos avaliar os fornecedores de IA para radiografias torácicas?
Solicite evidências para indicações claras, latência na sua rede, desempenho piloto no seu histórico de radiografias torácicas e métricas de controle de qualidade exportáveis. Verifique o suporte para sobreposições DICOM e objetos estruturados, controles de limite e monitoramento pós-implementação.
Que métricas comprovam o valor após a implementação?
Acompanhe o tempo de resposta para casos urgentes, acordos com relatórios finais, taxas de escalonamento e métricas da matriz de confusão: sensibilidade, especificidade, VPP, VPN. Monitore a taxa de sinalização por hora e leitor. Use esses dados para ajustar limites e alocação de pessoal.
Como a IA para radiografias torácicas interage com os relatórios radiológicos?
AI outputs can pre-populate findings or structured fields. Radiologists still author the final radiology reports, resolve discrepancies, and add clinical context. Local policy should define how AI suggestions are recorded.
Os modelos linguísticos são utilizados com IA para radiografias torácicas?
Os modelos linguísticos podem resumir impressões, padronizar a linguagem ou mapear resultados para modelos estruturados. Eles não interpretam imagens. Um modelo de IA baseado em imagens propõe resultados visuais, e um modelo linguístico pode ajudar a redigir um texto de relatório claro e consistente sob o controle do médico.
A IA para radiografias torácicas pode ajudar durante a noite e aos fins de semana?
Sim. Os algoritmos aplicam um limiar de deteção constante, independentemente da fadiga. A triagem ajuda a identificar rapidamente os casos urgentes, enquanto os radiologistas validam cada alerta antes de agir.
Quais são os riscos comuns ao interpretar radiografias torácicas com IA?
Confiança excessiva, definições de limiar inadequadas, artefactos não reconhecidos e desvios após alterações no scanner ou no protocolo. Mitigue com governança, auditorias periódicas, ciclos de feedback dos leitores e revalidação após atualizações do sistema.
A IA para radiografias torácicas é adequada para todos os grupos de pacientes?
A adequação depende das instruções indicadas no rótulo do produto e dos dados de treinamento. Confirme as faixas etárias, a inclusão de radiografias torácicas portáteis e a compatibilidade com diferentes tipos físicos e contextos clínicos antes da utilização.
O que vem a seguir para a IA em radiografias torácicas?
Espere uma cobertura mais ampla de indicações, maior explicabilidade, ligações mais profundas a relatórios estruturados e mais evidências do mundo real. As ferramentas de IA continuarão a ser auxiliares, focadas na interpretação mais segura e rápida de radiografias torácicas sob a supervisão de um radiologista.
EUA - EUA - Dispositivo médico Classe II de acordo com as autorizações 510K. Rayvolve: é um dispositivo de software de deteção e diagnóstico assistido por computador (CAD) para auxiliar radiologistas e médicos de emergência na deteção de fraturas durante a análise de radiografias do sistema musculoesquelético. O Rayvolve é indicado para a população adulta e pediátrica (≥ 2 anos).
Rayvolve PTX/PE: é um software de triagem e notificação radiológica assistida por computador que analisa imagens de raios-X do tórax de pacientes com 18 anos ou mais para a presença de achados críticos pré-especificados (derrame pleural e/ou pneumotórax). Rayvolve LN: é um dispositivo de software de deteção assistida por computador para auxiliar radiologistas a identificar e marcar regiões relacionadas com nódulos pulmonares suspeitos de 6 a 30 mm em pacientes com 18 anos ou mais.
UE - Dispositivo médico Classe IIa na Europa (CE 2797) em conformidade com o Regulamento de Dispositivos Médicos (2017/745). O Rayvolve é uma ferramenta de diagnóstico assistida por computador, destinada a ajudar radiologistas e médicos de emergência a detetar e localizar anomalias em radiografias padrão.
Atenção: Os dados mencionados são provenientes de documentos internos, estudos internos e revisões da literatura. Este material com imagens associadas não é contratual. Destina-se apenas a profissionais de saúde e não deve ser utilizado por outras pessoas. Os testemunhos refletem a opinião dos profissionais de saúde, não a opinião da AZmed. Leia atentamente as instruções de utilização antes de utilizar. Consulte a nossa política de privacidade no nosso website. Para mais informações, contacte: contact@azmed.co.
AZmed 10 rue d’Uzès, 75002 Paris - www.azmed.co - RCS Laval B 841 673 601
© 2025 AZmed – Todos os direitos reservados. MM-25-54



