AZmed, one of the leading companies in artificial intelligence (AI) for radiology, announced today the CE marking of AZnod, its first AI tool for computed tomography (CT) within the new Rayscan® product line. This expansion complements AZmed’s existing Rayvolve® AI Suite, extending the company’s portfolio beyond standard X-rays to include advanced CT-based analysis.
AZnod is designed to aid lung cancer screening programs by providing standardized detection and comprehensive characterization of pulmonary nodules on CT scans.

Lung cancer screening procedures place an interpretive load on medical imaging teams who must evaluate low-dose CT exams and detect small early-stage nodules, which can take several forms such as solid, part-solid, or pure ground-glass. Subsolid nodules can be challenging to visualize and are important to detect early to improve survival. It is essential for radiologists to provide reproducible assessments within guideline frameworks such as Lung-RADS and Fleischner, knowing that even minor dimensional or volumetric changes can change patient management.
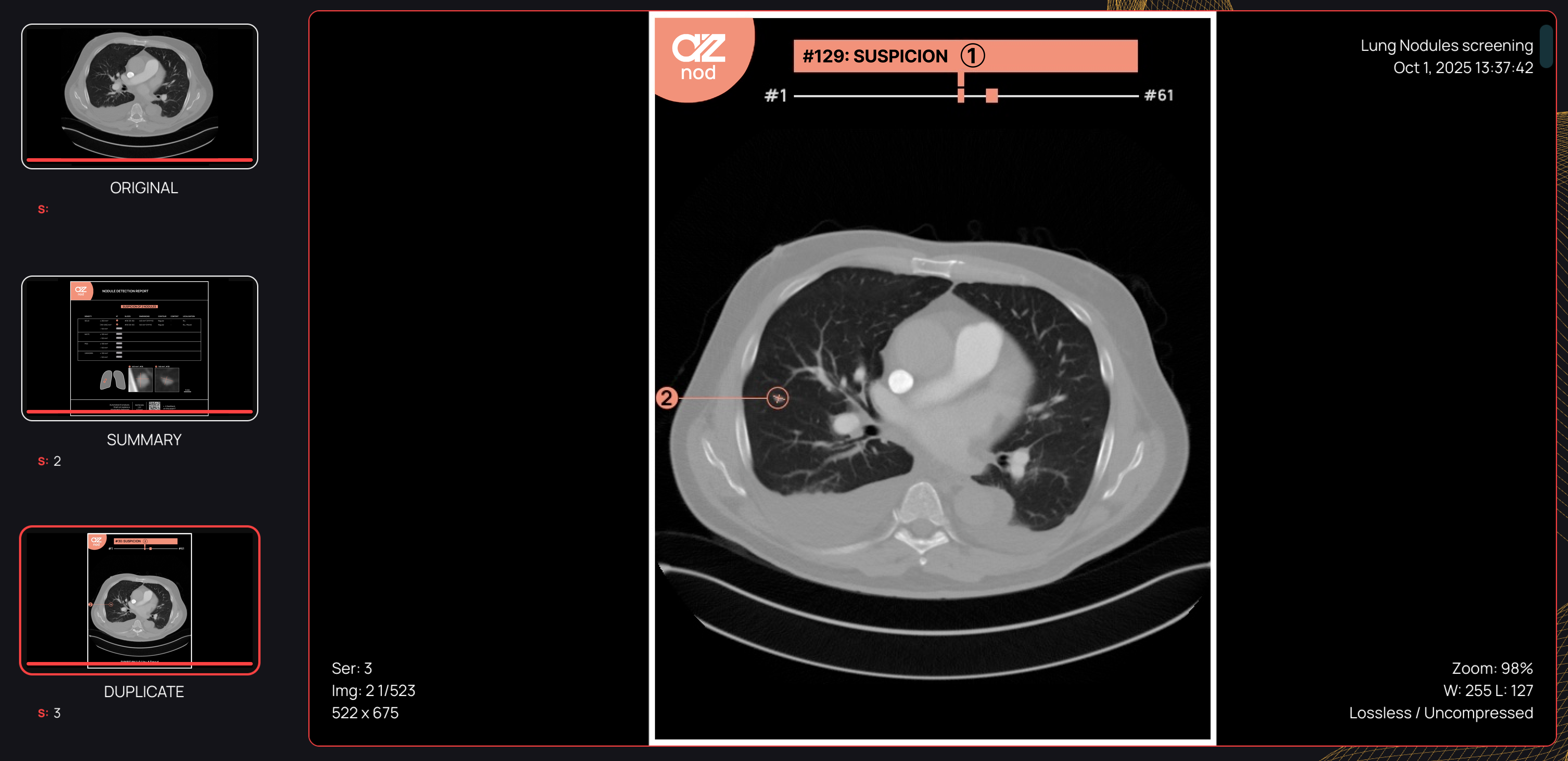
AZnod analyzes each slice of a CT to identify nodules between 3 mm and 30 mm. The system evaluates them, provides measurements of volume, long-axis diameter, and perpendicular diameters, and indicates the exact CT slices where they appear. It then classifies the detected nodules according to density, contour morphology, internal composition, and positioning in the lungs, which supports guideline-aligned clinical assessment without changing existing diagnostic workflows.
The AI model processes images that are strongly pseudonymized and returns structured radiology output to the user. The system provides a single report listing each nodule by clinical priority, with annotated views of size and standardized measurements in millimeters and cubic millimeters, along with its diagnostic attributes, as well as an anatomical lung schematic intended to allow rapid review in the assessment of nodules.
The AI tool is now available for adoption by healthcare providers in CE markets. For more information, contact the AZmed team.
About AZmed:
Founded in 2018, AZmed is a European MedTech company developing AI solutions for medical imaging. Its Rayvolve® AI Suite includes FDA-cleared and CE-marked tools, while its Rayscan® line is CE-marked. Used by more than 2,500 healthcare facilities worldwide, AZmed’s solutions improve diagnostic consistency and operational efficiency in medical imaging. Additional resources on AI-supported fracture detection and chest imaging are available on AZmed’s website.
Regulatory mentions:
US - Medical device Class II according to the 510K clearances. Rayvolve: is a computer-assisted detection and diagnosis (CAD) software device to assist radiologists and emergency physicians in detecting fractures during the review of radiographs of the musculoskeletal system. Rayvolve is indicated for adult and pediatric population (≥ 2 years).
Rayvolve PTX/PE: is a radiological computer-assisted triage and notification software that analyzes chest x-ray images of patients 18 years of age or older for the presence of pre-specified suspected critical findings (pleural effusion and/or pneumothorax). Rayvolve LN: is a computer-aided detection software device to assist radiologists to identify and mark regions in relation to suspected pulmonary nodules from 6 to 30mm size of patients of 18 years of age or older
EU - Rayvolve: Medical Device Class IIa in Europe (CE 2797) in compliance with the Medical Device Regulation (2017/745). Rayvolve is a computer-aided diagnosis tool, intended to help radiologists and emergency physicians to detect and localize abnormalities on standard X-rays.
Caution: The data mentioned are sourced from internal documents, internal studies and literature reviews. This material with associated pictures is non-contractual. It is for distribution to Health Care Professionals only and should not be relied upon by any other persons. Testimonial reflects the opinion of Health Care Professionals, not the opinion of AZmed. Carefully read the instructions for use before use. Please refer to our Privacy policy on our website For more information, please contact contact@azmed.co.
AZmed 10 rue d’Uzès, 75002 Paris - www.azmed.co - RCS Laval B 841 673 601
© 2025 AZmed – All rights reserved. MM-25-60



