A AZmed, uma das empresas líderes em inteligência artificial (IA) para radiologia, anunciou hoje a marcação CE do AZnod, a sua primeira ferramenta de IA para tomografia computadorizada (TC) dentro da nova linha de produtos Rayscan®. Esta expansão junta-se agora ao Rayvolve® AI Suite já existente da AZmed, ampliando o portfólio da empresa para além dos raios X padrão, de modo a incluir análises avançadas baseadas em TC. O AZnod foi concebido para auxiliar os programas de rastreio do câncer de pulmão, fornecendo detecção padronizada e caracterização abrangente de nódulos pulmonares em tomografias computadorizadas.

Os procedimentos de rastreio do cancro do pulmão impõem uma carga interpretativa às equipas de imagiologia médica, que devem avaliar exames de TC de baixa dosagem e detetar pequenos nódulos em fase inicial, que podem assumir várias formas, tais como sólidos, parcialmente sólidos ou em vidro fosco puro. Os nódulos subsólidos podem ser difíceis de visualizar e são essenciais para melhorar a sobrevivência. É essencial que os radiologistas forneçam avaliações reproduzíveis dentro de estruturas de diretrizes, como Lung-RADS e Fleischner, sabendo que mesmo pequenas alterações dimensionais ou volumétricas podem alterar o tratamento do paciente.
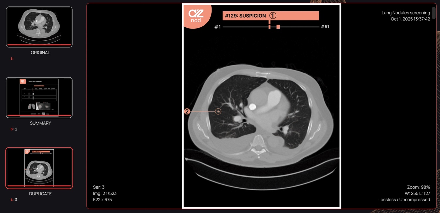
O AZnod analisa cada corte de uma TC para identificar nódulos entre 3 mm e 30 mm. O sistema avalia-os, mede o volume, o diâmetro do eixo longitudinal e os diâmetros perpendiculares, e indica os cortes exatos da TC onde eles aparecem. Em seguida, classifica os nódulos detetados de acordo com a densidade, a morfologia do contorno, a composição interna e o posicionamento nos pulmões, o que apoia a avaliação clínica alinhada com as diretrizes, sem alterar os fluxos de trabalho de diagnóstico existentes.
O modelo de IA processa imagens fortemente pseudonimizadas e retorna resultados radiológicos estruturados ao utilizador. O sistema fornece um único relatório listando cada nódulo por prioridade clínica, com vistas anotadas de tamanho e medições padronizadas em milímetros e milímetros cúbicos, juntamente com os seus atributos diagnósticos, bem como um esquema anatómico do pulmão destinado a permitir uma revisão rápida na avaliação dos nódulos.
A ferramenta de IA já está disponível para adoção por profissionais de serviços de saúde nos mercados CE. Para mais informações, entre em contacto com a equipa da AZmed.
Sobre a AZmed:
Fundada em 2018, a AZmed é uma empresa europeia de tecnologia médica que desenvolve soluções de IA para imagens médicas. O seu Rayvolve® AI Suite inclui ferramentas aprovadas pela FDA e com marcação CE, enquanto a sua linha Rayscan® possui marcação CE. Utilizadas por mais de 2.500 instituições de saúde em todo o mundo, as soluções da AZmed melhoram a consistência do diagnóstico e a eficiência operacional em imagens médicas. Recursos adicionais sobre deteção de fraturas e imagens torácicas com suporte de IA estão disponíveis no site da AZmed.
Regulatory mentions:
EUA - Dispositivo médico Classe II de acordo com as autorizações 510K. Rayvolve é um software de diagnóstico e detecção assistida por computador (CAD), desenvolvido para apoiar radiologistas e médicos de emergência na identificação de fraturas em radiografias do sistema musculoesquelético. Está indicado para pacientes adultos e pediátricos (≥ 2 anos).
Rayvolve PTX/PE: é um software radiológico de triagem e notificação assistida por computador que analisa imagens de radiografia de tórax de pacientes com 18 anos ou mais para identificar a presença de achados críticos suspeitos pré-especificados (derrame pleural e/ou pneumotórax).
Rayvolve LN: é um dispositivo de software de detecção assistida por computador para auxiliar radiologistas a identificar e marcar regiões relacionadas a nódulos pulmonares suspeitos de 6 a 30 mm em pacientes com 18 anos ou mais.
UE - Rayvolve: Dispositivo médico Classe IIa na Europa (CE 2797) em conformidade com o Regulamento de Dispositivos Médicos (2017/745). O Rayvolve é uma ferramenta de diagnóstico assistido por computador, destinada a ajudar radiologistas e médicos de emergência a detectar e localizar anomalias em radiografias padrão.
Atenção: Os dados mencionados têm como fonte documentos internos, estudos internos e revisões de literatura. Este material, com as imagens associadas, não é contratual. Destina-se exclusivamente à distribuição a Profissionais de Saúde e não deve ser utilizado por outras pessoas. O depoimento reflete a opinião de Profissionais de Saúde, não a opinião da AZmed. Leia atentamente as instruções de utilização antes do uso. Por favor, consulte nossa Política de Privacidade em nosso site. Para mais informações, entre em contato: contact@azmed.co.
AZmed 10 rue d’Uzès, 75002 Paris - www.azmed.co - RCS Laval B 841 673 601
© 2025 AZmed – Todos os direitos reservados. MM-25-57



